Septic Arthritis


Introduction


Septic arthritis of the hip joint in otherwise healthy adults is very unusual. Septic hips are usually encountered in the pediatric population or in adults with deficient immune systems:-



Patients with sickle cell anemia also have a documented susceptibility to joint sepsis. Direct extension from an intra-abdominal focus via the psoas and inoculation after femoral venipuncture are other unusual and rare causes of hip sepsis.


Diagnosis


"Any diagnosis is easy - if you think of it!"


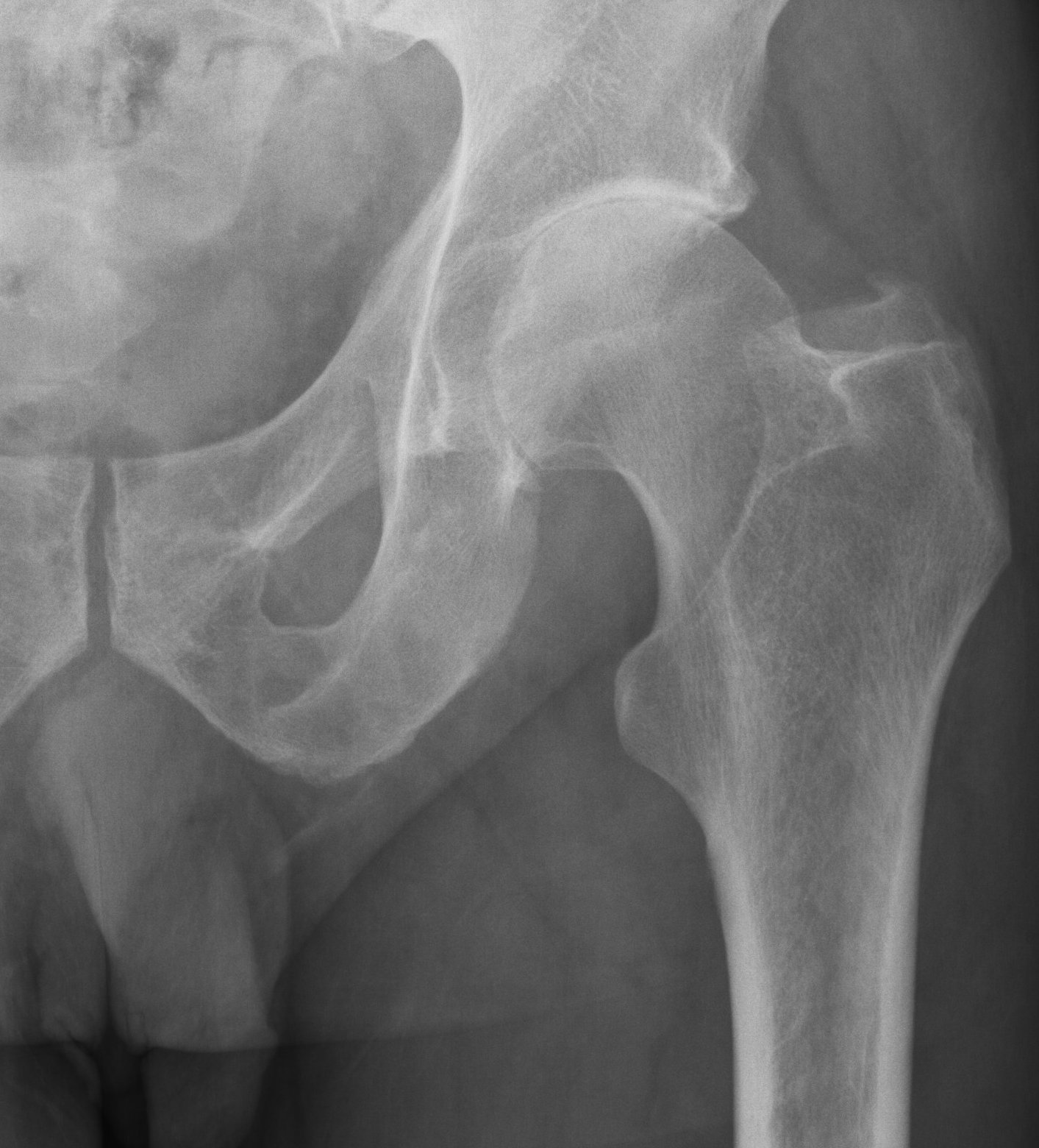
Patients usually present with a very rapid onset of severe pain and signs of toxicity. In patients who are very immuno-compromised there may not be the usual signs of systemic reaction to infection. In the early stages x-rays may mimic arthritis or AVN.



MRI is very sensitive but may still struggle to differentiate between advanced sepsis and AVN.



Aspiration of the hip joint, with x-ray control is the diagnostic test of choice. Staphylococcus aureus continues to be the most common organism isolated from adult hips affected by sepsis. Rarely, spontaneous nongonococcal and Candida sepsis of the hip joint in otherwise healthy adults have been reported.  Gonococcal septic hip arthritis is less common, and it is usually associated with specific host risk factors.


Treatment


Unless there is life threatening toxicity antibiotics should be withheld until samples from aspiration or open biopsies have been sent to the lab.



© Mr Gavin Holt :: CotswoldClinics.com :: Print this frame