Tibial Plateau Fracture


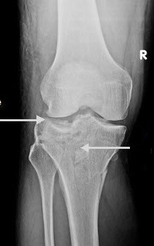
These fractures can be quite subtle and should always be considered when assessing acute knee injuries. Usually the common patterns of tibial plateau fractures are identified on plain films (AP, LAT, OBLIQUES).



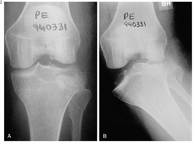
This film shows a lateral tibial plateau fracture with depression and comminution.


There is a less obvious extension of the fracture through the medial tibial plateau and in fact the knee is no longer connected to the shin!


Some subtle injuries where the bone is marginally impacted are only identified on CT or MRI.



Emergency Room Treatment


When there is suspicion of a fracture x-rays should be made before assessing ligament stability.



However at some point the ligaments will need assessment - perhaps under anaesthetic for those having surgery.



Specialist Treatment


Significantly displaced tibial plateau fractures are usually treated by internal fixation.

The subtle depressed fractures can be treated arthroscopically with percutaneous placement of screws.




© Mr Gavin Holt :: CotswoldClinics.com :: Print this frame