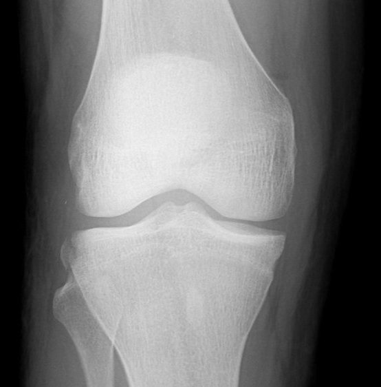
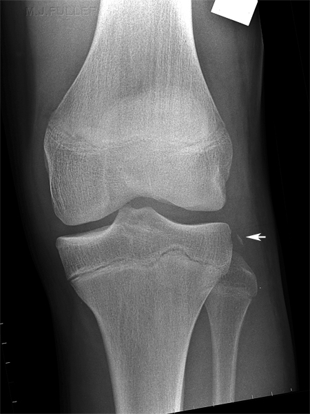
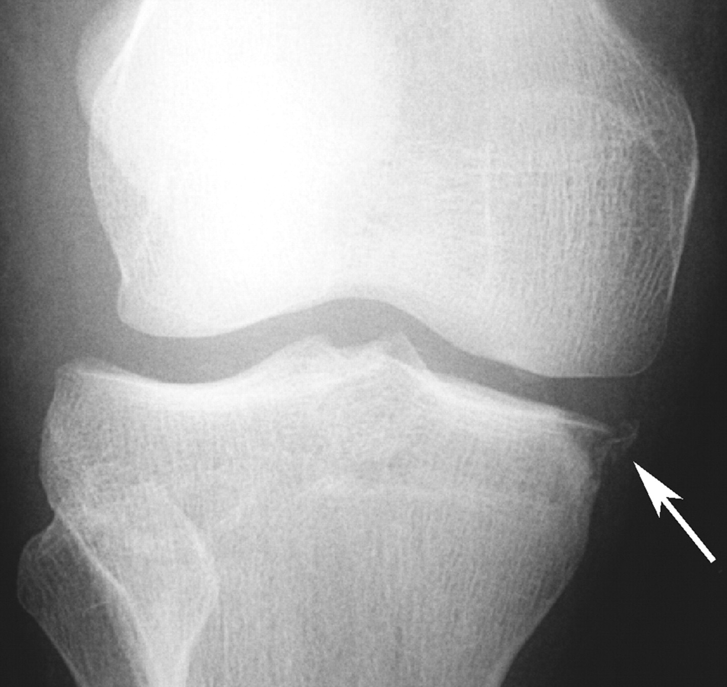
Segond Fracture
This is a very subtle "avulsion fracture of the tibia below the articular margin" caused by traction on the capsular or coronary ligaments. It is not possible to cause this fracture without first rupturing at least one of the major ligaments in the knee.

The classical description1 is limited to the lateral side where associated injuries include:-
The reverse Segond fracture describes similar lesions on the medial side associated with ER+Valgus injuries: -
Examples in order of increasing subtlety: -




1 Segond P. Recherches cliniques et expérimentales sur les épanchements sanguins du genou par entorse. Progres Med 1879; 7:297-299, 319–321, 340–341.
© Mr Gavin Holt :: CotswoldClinics.com :: Print this frame